망포역치과 복합적인 치과 치료도 한 번에

망포역치과

망포역치과

 

안녕하세요, 망포역치과 영통에이스치과입니다.

치과 치료는 단순히 충치를 치료하거나 스케일링을 하는 것에서 그치지 않습니다. 생활 속에서 오랜 시간 방치된 치아 문제는 서로 얽혀 복합적인 치료가 필요한 경우가 많습니다.

예를 들어 충치가 신경까지 진행돼 신경치료가 필요한 상태에서 이미 치아가 많이 약해졌다면, 이후 보철 치료(크라운)까지 이어지게 되고, 심한 경우 발치를 하고 임플란트 수술이 필요한 상황이 될 수도 있습니다.

이렇게 여러 치료가 한 번에 필요한 경우,환자 입장에서는 “무엇부터 해야 하지?”, “치료 기간은 얼마나 걸릴까?”, “병원을 여러 군데 다녀야 하나?” 같은 고민이 생기기 마련입니다.

오늘은 이러한 걱정을 가지고 계신 분들을 위해, 신경치료, 임플란트, 그리고 보철치료까지 모든 과정을 체계적으로 진행이 필요한 복합적인 경우에 대해 이야기를 드리고자 합니다.

 

망포역치과

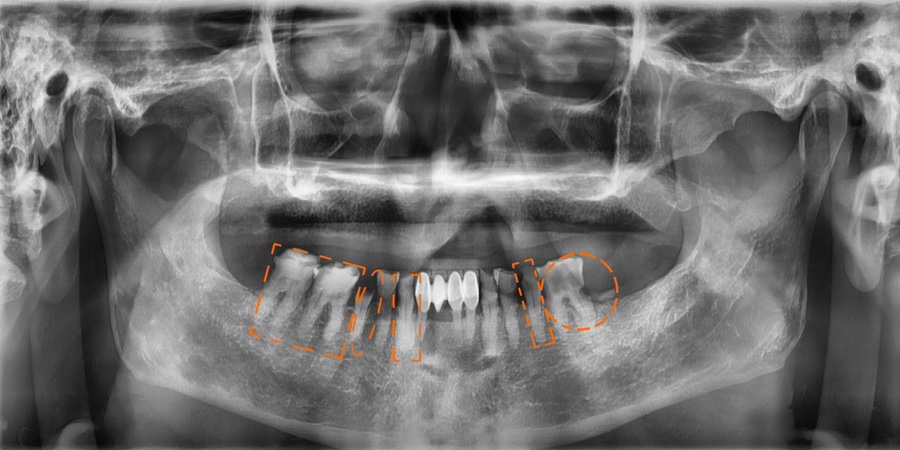
치료 전 사진 / 2024. 12. 18

 

치료 전 구강 상태 분석이 중요한 이유

 

치과 치료를 시작하기 전에는 현재 구강 상태를 정확히 파악하는 것이 중요합니다.

파노라마 엑스레이 등을 통해 치아, 잇몸뼈, 염증 여부를 확인하면 단순 치료인지, 임플란트나 발치가 필요한지 판단할 수 있습니다.

특히 치주염이나 치아 손상이 심한 경우에는 보존이 어려워질 수 있고, 치아 상실을 방치하면 뼈가 흡수되어 치료가 더 복잡해질 수 있습니다.

따라서 정확한 진단을 바탕으로 적절한 치료 계획을 세우는 것이 무엇보다 중요합니다.

 

 

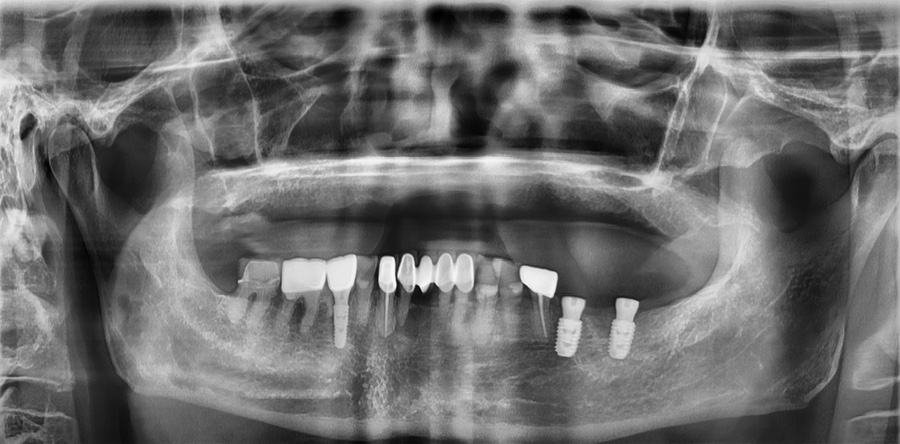
망포역치과

치료 후 사진 / 2025.06.19

 

 

복합적인 치과 치료는 어떻게 진행될까?

 

여러 문제가 동시에 존재하는 경우에는 단계적인 치료 계획이 필요합니다. 일반적으로는 다음과 같은 순서로 진행됩니다.

먼저 문제가 있는 치아에 대해 발치 또는 신경치료를 통해 염증과 통증의 원인을 제거합니다.

 

이후 치아가 상실된 부위에는 임플란트를 식립하여 기능을 회복할 수 있는 기반을 마련합니다.

그 다음 단계에서는 신경치료를 받은 치아나 손상된 치아에 크라운 보철치료를 진행하여 치아의 형태와 기능을 회복하게 됩니다.

 

마지막으로 전체적인 교합과 저작 기능, 심미적인 부분까지 고려하여 마무리하게 됩니다.

이 과정에서 중요한 점은 치료 순서를 체계적으로 계획하는 것입니다.

 

예를 들어 임플란트를 먼저 식립한 후 보철을 진행할 수도 있고, 반대로 신경치료와 보철을 먼저 진행해야 하는 경우도 있습니다.

이는 환자의 구강 상태에 따라 달라지기 때문에 정확한 진단이 선행되어야 합니다.

 

 

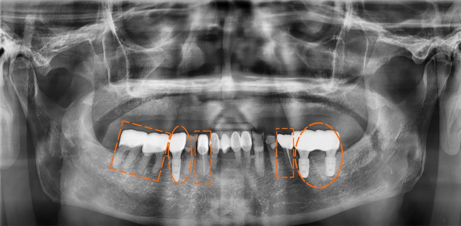
망포역치과

치료 전,후 사진 / 2024. 12. 18~2025.06.19

 

 

복합 치료에서 가장 중요한 포인트

 

복합적인 치과 치료에서는 단순히 개별 치료를 잘하는 것보다 전체적인 균형을 고려하는 것이 중요합니다.

한 부위만 치료한다고 해서 문제가 해결되는 것이 아니라, 전체 치아의 기능과 교합이 함께 맞아야 장기적으로 안정적인 결과를 얻을 수 있기 때문입니다.

또한 치료 시기를 놓치지 않는 것도 중요합니다. 초기에는 간단한 치료로 해결할 수 있었던 문제가 방치될 경우, 신경치료나 임플란트까지 이어질 수 있기 때문에 조기 진단과 치료가 필요합니다.

결국 치과 치료는 단편적인 접근이 아닌, 전체적인 구강 상태를 고려한 계획적인 치료가 핵심이라고 할 수 있습니다.

 

 

 

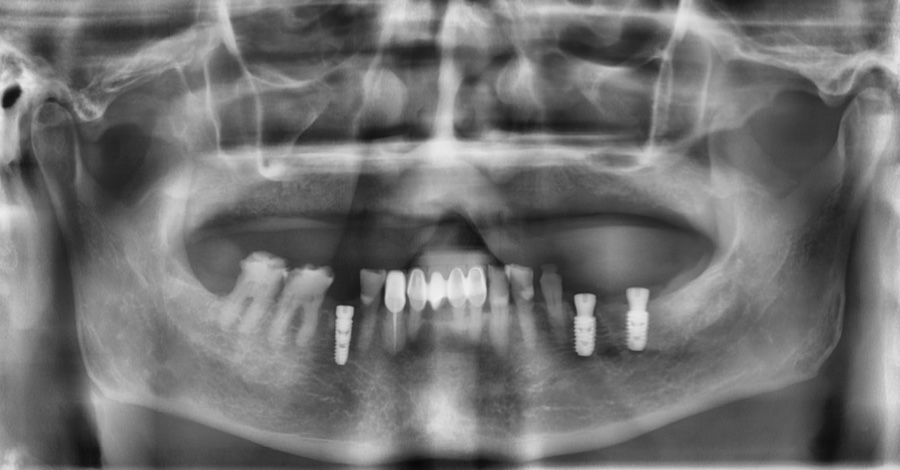
복합적인 치과 치료가 필요하다고 해서 무조건 복잡하고 오래 걸리는 건 아닙니다. 정확한 진단과 계획적인 접근으로, 치료 기간과 비용을 효율적으로 조절할 수 있습니다.

 

 

*치료 기간 : 2024. 12. 18~2025.06.19

*모든 증례 사진은 의료법 제23조, 제 56조에 의거하여 환자분의

동의 하에 업로드가 진행되었습니다.

*치료 사진은 모두 본원에서 치료한 환자분의 사진입니다.

*치료 전·후 사진은 모두 동일인의 사진이며, 동일조건에서 촬영하였습니다.

*개인의 차이에 따라 시술 및 수술 후 부작용이 발생할 수 있으며,

의료진과 충분한 상담을 받으시기 바랍니다.

 


 

홈페이지 바로가기

인스타그램 바로가기

네이버예약 바로가기

 

 







문의 전화

031-202-2828

네이버 예약

네이버 예약