망포동치과 까맣게 변한 앞니 충치치료

망포동치과

망포동치과

 

안녕하세요! 오늘 망포동치과 영통에이스치과에서는 많은 분들이 간과하기 쉬운 앞니 충치와 신경치료에 대한 이야기를 드리려고 합니다.

특히 거울을 보다 보면 앞니에 검은 점이나 변색된 부분이 보여 불안하셨던 분들이 계실 텐데요. 어떤 식으로 치료 과정이 진행되는지 사례를 통해 함께 알아보도록 하겠습니다.

특히 앞니가 까맣게 변색되고 통증까지 있었다면, 오늘 망포동치과의 포스팅이 큰 도움이 될 수 있습니다.

 

망포동치과

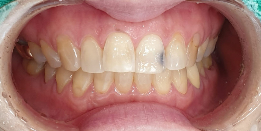
치료 전 사진 / 2025. 06. 02

 

앞니는 보통 어금니보다 충치에 덜 노출될 것 같지만, 다음과 같은 이유로 충치가 생기기도 합니다:

• 잦은 음료 섭취(특히 탄산, 커피 등)

• 양치 불량 (특히 치간 부위)

• 외상 또는 오래된 충치 방치

• 신경이 죽으면서 내부에서부터 색이 변하는 경우

이때 생기는 까만 변색이 단순한 착색인지, 심각한 충치인지 구분이 필요합니다. 겉으로는 멀쩡해 보여도, 내부에서 충치가 진행되었을 수 있어요.

 

 

🔧 치료 과정

1. 충치 제거 및 신경치료 (근관치료)

• 치아 내부의 감염된 신경조직을 깨끗하게 제거하고, 약재로 소독 후 채워넣는 과정을 진행했습니다.

• 앞니는 심미영역이기 때문에 최대한 보존적이고 섬세한 접근이 필요합니다.

2. 크라운(도재관) 제작 및 장착

• 신경치료 후 약해진 치아는 깨질 위험이 높기 때문에 세라믹 크라운으로 보호했습니다.

• 주변 치아와 조화를 이루도록 색상과 형태를 자연스럽게 맞춰 제작하였고, 장착 후에도 전혀 티 나지 않도록 마무리했습니다.

 

 

 

 

망포동치과

치료 후 사진 / 2025. 07. 04

 

신경치료란?

신경치료는 치아 내부에 감염되거나 괴사된 신경(치수)을 제거하고, 내부를 소독 및 충전하여 치아를 살리는 치료입니다.

신경치료 과정

1.충치 제거 및 치수 노출 확인

2.감염된 신경 조직 제거

3.세균 소독 및 약재 충전

4.치아 보호용 보철(크라운 등) 마무리

앞니처럼 얇고 예민한 치아는 이 과정에서 정밀한 접근이 필요합니다. 또한 치료가 끝난 치아는 깨지기 쉬워, 이후 보강용 크라운을 씌우는 것이 일반적입니다.

 

 

망포동치과

치료 전, 후 사진 / 2025. 06. 02~2025. 07. 04

 

조기 진단과 치료가 가장 중요합니다!

 

앞니는 기능뿐 아니라 심미적으로도 매우 중요한 위치입니다. 검은 점이나 변색이 보인다면, 단순히 미용 문제가 아니라 신경 손상의 신호일 수 있습니다.

치료가 늦어질수록 치아를 잃게 될 가능성도 높아지니, 이상 증상이 느껴지신다면 꼭 검진을 받아보시길 권합니다.

 

 

 

*치료 기간 : 2025. 06. 02~2025. 07. 04

*모든 증례 사진은 의료법 제23조, 제 56조에 의거하여 환자분의
동의 하에 업로드가 진행되었습니다.

*치료 사진은 모두 본원에서 치료한 환자분의 사진입니다.

*치료 전·후 사진은 모두 동일인의 사진이며, 동일조건에서 촬영하였습니다.

*개인의 차이에 따라 시술 및 수술 후 부작용이 발생할 수 있으며,
의료진과 충분한 상담을 받으시기 바랍니다.

 


 

홈페이지 바로가기

인스타그램 바로가기

네이버예약 바로가기







문의 전화

031-202-2828

네이버 예약

네이버 예약